Parodontologija
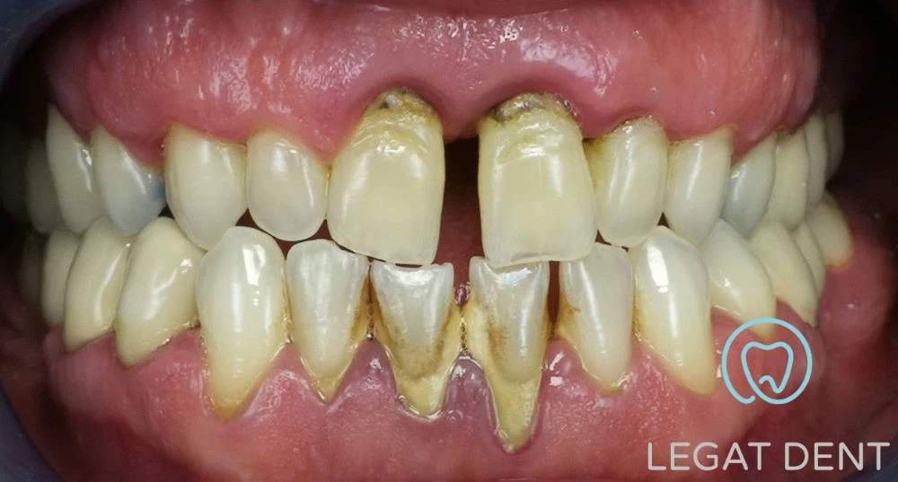
Parodontalna bolezen je kronično obolenje obzobnih tkiv, ki danes prizadane velik del populacije. Več kot 90% ljudi ima vsaj enega od znakov parodontalne bolezni npr. zobni kamen. Nezdravljena vodi v majavost zob in neprijeten izgled, v končni fazi pa v izgubo zob. Nastanek in razvoj bolezni je pogojen s številnimi vzročnimi faktorji, ki se med sabo globoko prepletajo. Dobra novica pa je, da v boju s parodontalno boleznijo nismo več nemočni. S pravočasnim in pravilnim pristopom lahko razvoj bolezni preprečimo ali upočasnimo in ni več nujno, da vodi v izgubo zob.
Ustna votlina predstavlja vrata v naše telo. Bakterije, ki so pri parodontalni bolezni prisotne v ustih, lahko preko obzobnih žepkov vplivajo na naše telo in s tem na poslabšanje nekaterih osnovnih bolezni. Zato še posebno pozornost posvečamo pacientom z določenimi kroničnimi boleznimi, kot so sladkorni bolniki in bolniki s srčno žilnimi boleznimi.
Brošura ustne bolezni
Potek zdravljenja
Najprej opravimo z pacientom natančen pogovor s katerim ugotavljamo predispozicijo za bolezen ter dejvnike tveganja za nastanek in poslabšanje parodontalne bolezni. Nato ugotovimo, v kateri fazi je bolezen. Opravimo meritve globine žepkov na 6 mestih za vsak zob posebej. Temu sledi higienska faza, kjer odstranimo mehke in trde zobne obloge. Nato odstranimo in zamenjamo vse previsne plombe in prevleke, ki onemogočajo dobro higieno. V tej fazi odstranimo tudi zobe s povsem brezupno prognozo. Temu sledi globinsko čiščenje žepkov, strokovno imenovano »luščenje in glajenje korenin«.
Terapijo opravimo v 1 do 4 sejah, odvisno od obsega bolezni. Posegi so povsem neboleči, saj jih opravimo pod lokalno anestezijo. Pacienta ponovno natančno pregledamo čez 2 meseca. V kolikor še zasledimo znake akutne parodontalne bolezni, poseg na teh mestih ponovimo. V določenih napredovalih primerih pa pacienta pošljemo k specialistu, ki opravi še kirurški del terapije. Terapija pa s tem ni zaključena. Nujno je dobro vzdrževanje doseženih rezultatov, za kar je odgovoren predvsem pacient sam. Prav tako so potrebni redni in dokaj pogosti kontrolni pregledi pri zobozdravniku, saj gre za kronično bolezen, ki zahteva stalen nadzor.
Legat dent v medijih
Intervju o parodontalni bolezni


