24. junij 2021
Včasih pride do nas pacient z željo po ureditvi zobovja, kateremu moramo po opravljenem pregledu in speljani diagnostiki žal povedati, da nobenega zoba v ustih ne moremo ohranjati. To so ponavadi ljudje, ki več let ali desetletja niso bili pri zobozdravniku, nimajo prave tehnike čiščenja in imajo znake hudo napredovane parodontalne bolezni. Značilnosti te so obsežna izguba podporne kostnine okoli zob, ustni zadah, majavi zobje, spremembe položaja zob in razmiki med zobmi, pogosta vnetja obzobnih žepkov, videz podaljšanih zob in sčasoma otežena žvečna funkcija zaradi izgube zob.
Problem reševanja takih stanj se sprva začne pri seznanitvi pacienta z njegovim stanjem, kar je vedno šok, saj se pacienti mnogokrat ne zavedajo obsežnosti destrukcije obzobnih struktur. Parodontalna bolezen ponavadi poteka brez bolečin razen v redkih primerih.
Želim se naročiti na posvet
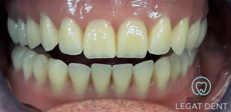
Pacient je imel poleg močno poglobljenih žepkov ob zobeh tudi številna vnetja ob vršičkih zobnih korenin ali granulome, zato je bilo smiselno z rehabilitacijo čim prej začeti. Opravili smo serijske ekstrakcije prizadetih zob, pri čimer je bilo potrebno vnetne procese natančno očistiti. Da pacient ni bil škrbast, smo ga oskrbeli z začasno zgornjo in spodnjo protezo. Ta nam je pomagala premostiti čas za opazovanje celjenja kostnine po izdrtjih zob ter za korekcijo odnosov med zgornjo in spodnjo čeljustjo, med katerima je vladalo vidno nesorazmerje.
Problem pacientov, ki so izgubili zobe zaradi parodontalne bolezni, je v tem, da nimajo dobrih anatomskih pogojev za nošenje totalne proteze, saj jim je zaradi nezdravljene bolezni nepretrgoma topila kost in kostne strukture, ki so pomembne za statiko proteze. Naš gospod je imel zelo slabe pogoje za protezo in je z njo težko jedel, zato smo se odločili za izvedbo proteze na 2 implantatih v spodnji in 4 implantatih v zgornji čeljusti, ki dodatno sidrajo proteze in omogočajo njihovo stabilnost in udobno žvečenje.
Potrebno je poudariti, da so implantati pri ljudeh z parodontalno boleznijo dolgoročno manj uspešni, zato so toliko bolj pomembne redne kontrole pri zobozdravniku in higieniku. Pacient se mora dobro naučiti tehnike čiščenja implantatov in protez, saj se podobna bolezen, kot se pojavlja ob zobeh lahko pojavi tudi okoli implantatov.
Želim izvedeti več o implantologiji

Katarina Legat Blomstedt, dr. dent. med.